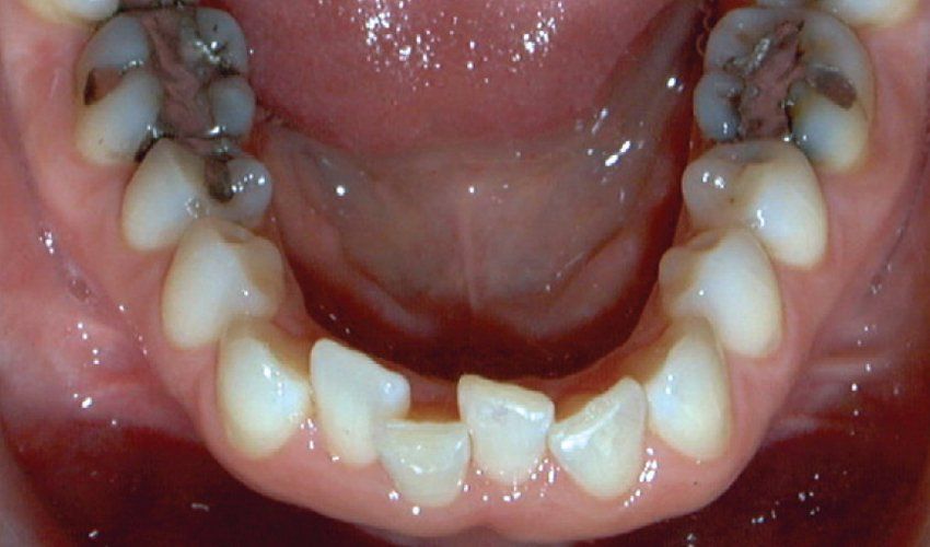
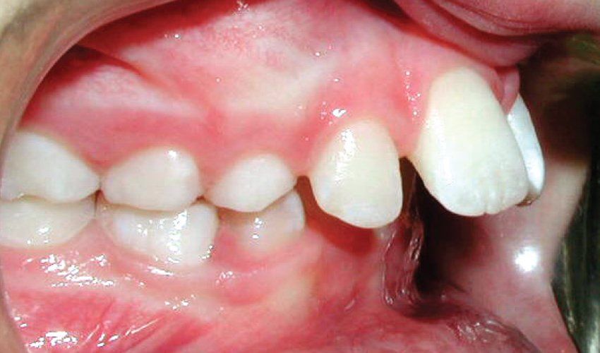
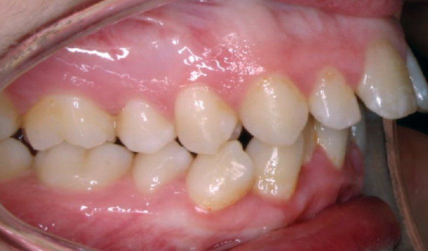
Top teeth are behind bottom teeth
Top teeth are to the inside of bottom teeth
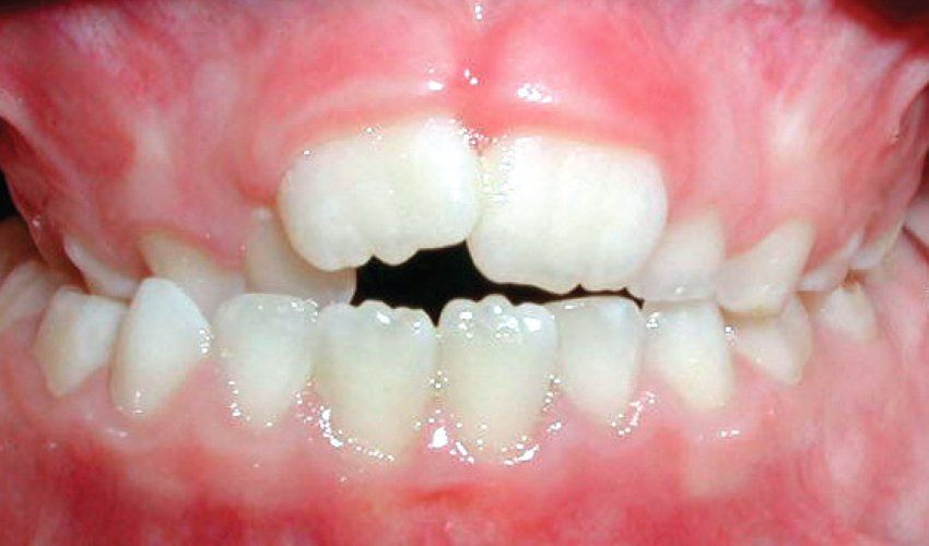
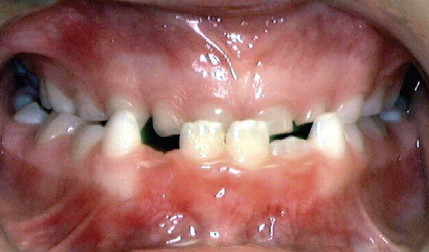
Front teeth do not meet when back teeth are closed
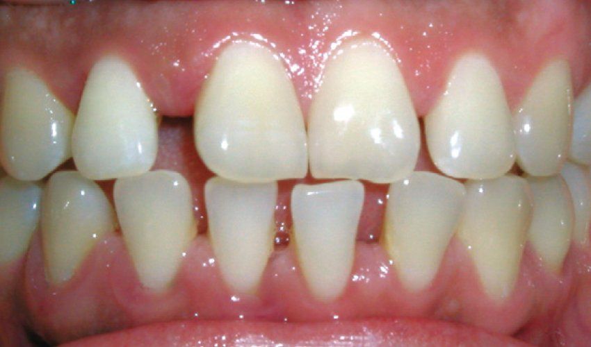
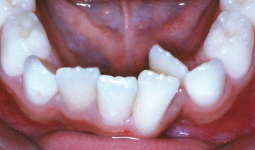
The lower teeth sit in front of upper teeth when back teeth are closed
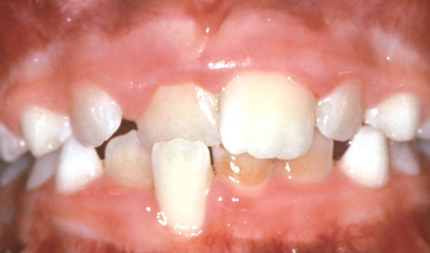
Sucking on thumb, fingers